患者様に心からご満足いただける仕上がりを目指して
CONCEPT
具体的な治療方法について詳しくご説明いたします
歯は生涯を通して使う大切なものであり、自信を持って笑ったり、ご飯を美味しく食べたりなど、快適な暮らしを送っていく上で欠かせない存在です。
だからこそ、長年新橋に根差して活動を続けてきた歯医者として、患者様一人ひとりのお気持ちを真摯に汲み取った、的確な治療をご提案できるよう努めております。
じっくりと時間をかけてカウンセリングを実施し、どういった治療が適しているかを具体的にご説明しながら、安心感のある施術を行います。
せっかく患者様からお伺いした情報が共有漏れしてしまわないよう、院長自らが一貫して対応するなど、細やかな配慮を大切にしております。
怖さや痛みといった歯医者のイメージを払拭する治療
SERVICE
日々行っている治療の様子や他愛もない出来事などを更新
BLOG
院内の空気感などを分かりやすく綴っております
徒歩で手軽にお越しになれる便利さが嬉しい歯科医院です
ACCESS
初めてでも通いやすい歯科医として、患者様から納得のお言葉を多数いただいております。
診療のご予約については、掲載しているお電話番号からお願いいたします。
また、ご予約の方以外に、お口に関する様々なお悩み、ご相談がありましたら、専用のメールフォームからいつでもお問い合わせをお待ちしております。頭の中でモヤモヤしていた不安が和らいだと好評です。
細かく症状を見極めた上で治療を進めてまいります
ABOUT US
充実の設備や高い技術を活かしたオーダーメイド治療を行います
せっかくお越しになった患者様に、「相談して良かったな」と心から感じていただける治療を実現できるよう、まずは時間をかけてカウンセリングを実施し、お悩み一つひとつを丁寧にお伺いしております。
温かなコミュニケーションによって信頼関係を築くと共に、どういった治療を行っていくべきかについて細かくご説明し、安心感のある施術を行います。長年培ってきた技術、十分に整った良質な設備があるからこそ、将来を見据えたオーダーメイドのプランをご提案できます。
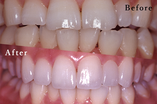
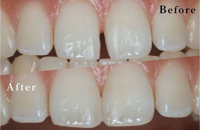
健康な歯に負担をかけず失った部分をカバーするインプラント、削ることなく白く美しい歯へと導くホワイトニングをはじめ、患者様のお気持ちに寄り添ったフレキシブルな対応ができますので、「大切な歯のことだから信頼できる歯医者に相談したい」とお考えでしたら、まずはお気軽にお問い合わせください。
治療に力を注ぐばかりでなく、どうしたら良好な状態を維持していけるかなど、予防についても積極的に取り組んでおり、歯に関するお悩みであれば柔軟にお応えできます。多彩な知識を有する専門家として、どんなに小さなお困りごとでも真摯に受け止めます。
「歯は人生を通して使っていく大切な存在」です
嚙み合わせをはじめ、機能的な面にとことんこだわった施術を行うことはもちろん、例えば詰め物や被せ物を従来の金属以外にも複数ご用意し、ご要望に合わせて治療跡を目立たなくするなど、美しさも大切にした仕上がりをご提供いたします。これまで数々の治療を経験してきた院長自らが、最初から最後まで一貫して対応いたしますので、初めてのご利用でも安心です。
根管治療や口腔外科、インプラントといった多彩なメニューをご用意しており、事前のカウンセリングで患者様の辛いお悩みをしっかり把握した上で最適なものをご提案できます。
痛みにも配慮した優しい施術を心掛けておりますので、「歯医者は怖いイメージがあって行きづらい」「何をされるか分からなくて怖い」といった想いをお持ちの方も安心してご来院ください。
どのような治療を行う場合でも、まずは具体的で分かりやすいご説明を徹底し、ご納得いただいた上でお話を進めてまいります。




